IVAs 100-lista - 2019-2024

IVAs 100-lista publicerades årligen under 2019-2024 för att sätta ljuset på aktuell forskning med potential att skapa nytta genom kommersialisering, affärs- och metodutveckling eller samhällspåverkan. Under 2026 kommer en vidareutveckling av listan att presenteras.

Filtrera

Årtal

Kategorier

Lärosäten

Search results updated results with filter x x

FlexDyer

En resurseffektiv färgningsprocess anpassad till dagens textilindustri.

Resurs- & energieffektivitet
Högskolan i Borås
2020

Intelligent packning med automatisk frekvensstyrning

Ny teknik minskar kostnader och miljöpåverkan i byggbranschen.

Infrastruktur
Kungliga Tekniska högskolan
2020

Kiselalger för framtiden

Hållbar produktion av supermaterial.

Smarta produkter & tjänster
Göteborgs universitet
2020

Maximerad användning av marina resurser till livsmedel

Nya metoder för isolering av proteiner och omega-3-rik olja från sjömatsbiprodukter.

Resurs- & energieffektivitet
Chalmers tekniska högskola
2020

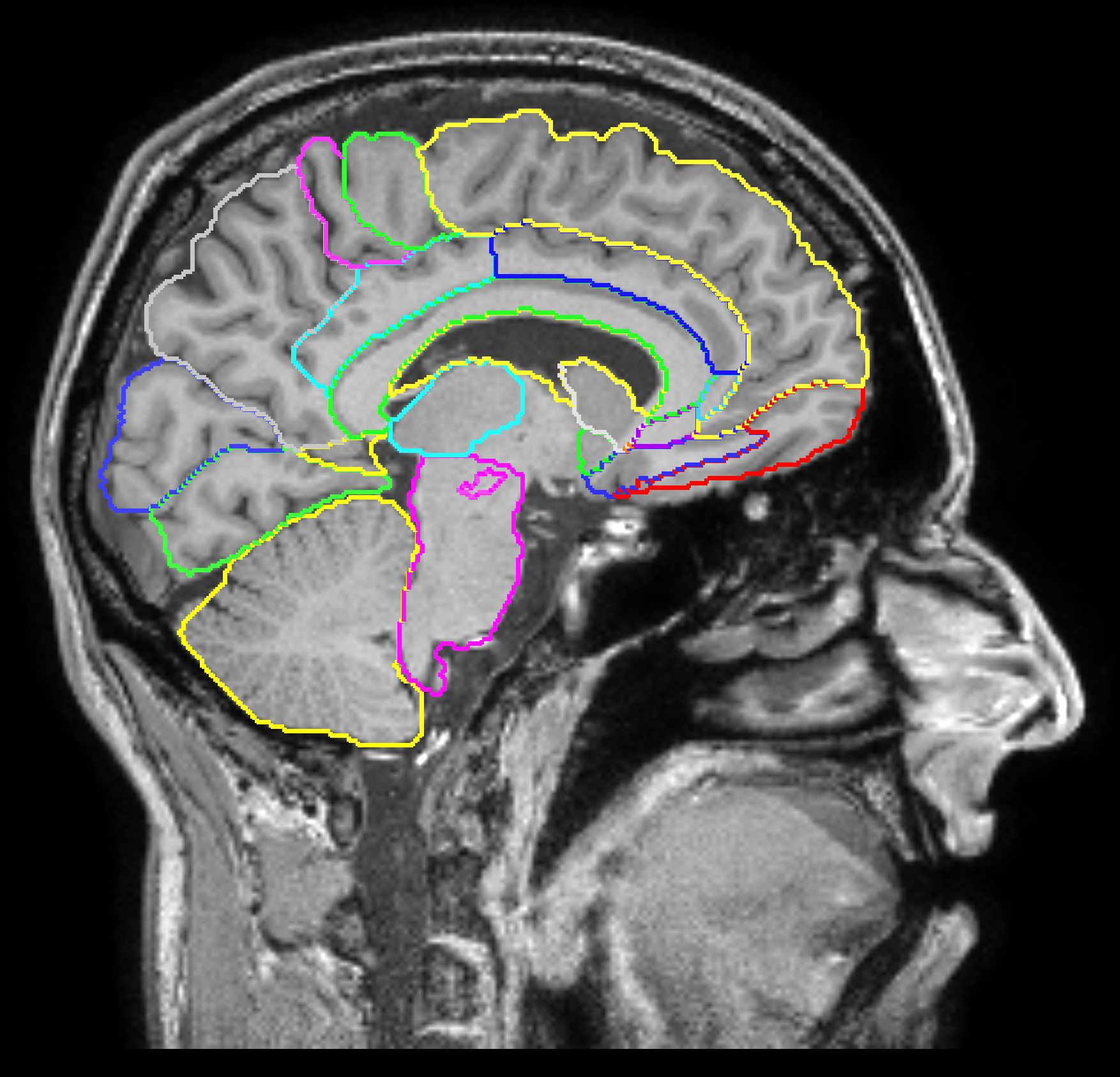
Pincram och MAPER

Bättre diagnostik av hjärnsjukdom genom bildanalys och maskininlärning.

Smarta produkter & tjänster
Göteborgs universitet
2020

Future-Proof Cities

Företagsforskarskolan "Future-Proof Cities" har fokus på hållbar stadsutveckling och bygger på en samhällsdialog om utmaningar för svenska medelstora städer.

Samhälle & välfärd
Högskolan Dalarna
2020

DEC-HEF

Design and ElectroCrystallization of High Entropy thin Films

Resurs- & energieffektivitet
Jönköping University
2020

KOPeration

En metod för kundanpassat inköp.

Nya affärsmodeller
Cirkulär ekonomi
Jönköping University
2020

Rening av vatten från kvicksilver

Ny effektiv och hållbar metod för att fånga upp kvicksilver ur processvatten, avloppsvatten och naturligt vatten.

Resurs- & energieffektivitet
Chalmers tekniska högskola
2020

Gröna Cellfabriker

Direkt produktion av kemikalier och bränslen från solenergi och CO2.

Resurs- & energieffektivitet
Uppsala universitet
2020

Monitoring and Prediction through AI

The research focuses on monitoring and prediction based on artificial Intelligence, predictive data analytics and contextual information.

Smarta produkter & tjänster
Mälardalens universitet
2020

Mistra REES

REES – Resource Efficient and Effective Solutions based on circular economy thinking!

Nya affärsmodeller
Cirkulär ekonomi
Chalmers tekniska högskola
2020

Avsaltning driven av marina förnybara energikällor

Om möjligheten att skapa färskvatten med hjälp av vågkraftsdriven avsaltning.

Resurs- & energieffektivitet
Uppsala universitet
2020

Use2Use – design för cirkulär konsumtion

Unika designverktyg som hjälper företag att utforska och designa för cirkulär konsumtion.

Nya affärsmodeller
Cirkulär ekonomi
Chalmers tekniska högskola
2020

Tunna solceller

Högeffektivt solcellsskal med arkitektoniska värden.

Resurs- & energieffektivitet
Uppsala universitet
2020

Autonomous Aerial Inspection of Ore Passes

Autonomous flying drones in mining environments for visual surveillance.

Smarta produkter & tjänster
Luleå tekniska universitet
2020

Oligonukleotider för behandling av inflammatorisk hudsjukdom och viral luftvägsinfektion

TIRmed utvecklar en immunreglerande behandling med antiviral effekt.

Samhälle & välfärd
Stockholms universitet
2020

Strukturella batterier

Viktlös energilagring för bilar, båtar och flygplan.

Resurs- & energieffektivitet
Chalmers tekniska högskola
2020

Glas och elektroniskt avfall som hållbara framtida källor av metaller

Utvinning av metaller med 99% effektivitet ur glasdelar i elektriska apparater och artistiska glas.

Resurs- & energieffektivitet
Linnéuniversitetet
2020

Smarta arbetskläder för hållbar arbetshälsa

ErgoTech Nordics system för riskbedömning av arbeten och arbetsteknikträning som förebygger belastningsskador.

Smarta produkter & tjänster
Högskolan i Borås
2020

Smarta arbetskläder för hållbar arbetshälsa

ErgoTech Nordics system för riskbedömning av arbeten och arbetsteknikträning som förebygger belastningsskador.

Smarta produkter & tjänster
Högskolan i Borås
2020

Energieffektiva minnen för integrerade elektroniska kretsar

Designprocess för teknologioberoende IP-utveckling för elektroniska integrerade lågeffektkretsar.

Smarta produkter & tjänster
Lunds universitet
2020

Hållbar produktion av fettsyror

Mot en cirkulär bioekonomi.

Cirkulär ekonomi
Nya affärsmodeller
Chalmers tekniska högskola
2020

PROGNOSIS

AI och prediktiv verktygsintegration för beslutsstödssystem.

Smart industri
Mälardalens universitet
2020

Genom att bygga broar mellan forskningsvärlden och näringslivet ger vi forskning med potential att förändra världen större möjlighet att omsättas till faktisk nytta.